kuzhenerkino.ru
kuzhenerkino.ru

Trx tag purification (99) 사진

A high-performance thioredoxin-based scaffold for peptide immunogen  construction: proof-of-concept testing with a human papillomavirus epitope  | Scientific Reports

Fussion protein and affinity Purification | PPT

Screening system to detect Trx-TF interaction in E. coli cells. (A)... |  Download Scientific Diagram

Tag Removal Proteases for Recombinant Protein Purification

Frontiers | Thioredoxin Profiling of Multiple Thioredoxin-Like Proteins in  Staphylococcus aureus

Strategies for Tag Design and Removal in the Expression and Purification of  Recombinant Proteins

Same Day Access to Proteins Enabled by Folding Selections Alex J.  Callahan1, Aurélie Rondon1, Lia Lozano Salazar1, Satish Gandh

Beyond Purification: Evolving Roles of Fusion Tags in Biotechnology

A Combination Strategy of Solubility Enhancers for Effective Production of  Soluble and Bioactive Human Enterokinase | bioRxiv

Anti-Trx-Tag antibody [SMM] (STJ11107575)

An Extended Active-site Motif Controls the Reactivity of the Thioredoxin  Fold* - Journal of Biological Chemistry

PPT - Structural Interaction of Thioredoxin (Trx) and Thioredoxin-interacting  Protein (Txnip) PowerPoint Presentation - ID:3414550

What are the key points to watch for and methods to improve _Protein  Technology Column_Technical FAQs_Information Center_Leading Biology Inc.

Strategy and construct design – Protein Expression and Purification Core  Facility

Beyond Purification: Evolving Roles of Fusion Tags in Biotechnology

Protocol for Purification of Human ZGRF1 and Its Regulatory Function on  RAD51-Mediated D-Loop Formation

Polyionic Tags as Enhancers of Protein Solubility in Recombinant Protein  Expression

Thioredoxin/TRX General Information | Sino Biological

Beyond Purification: Evolving Roles of Fusion Tags in Biotechnology

Anti-Tag Antibodies | Assay Genie

Expression and efficient purification of tag-cleaved active recombinant  human insulin-like growth factor-II from Escherichia coli | Biotechnology  and Bioprocess Engineering | Springer Nature Link

Fussion protein and affinity Purification | PPT

bold id=Expression and characterization of a new serine protease inhibi tory protein in

Fussion protein and affinity Purification | PPT

High Throughput Quantitative Expression Screening and Purification Applied  to Recombinant Disulfide-rich Venom Proteins Produced in E. coli

Expanding the molecular toolbox for Lactococcus lactis: construction of an  inducible thioredoxin gene fusion expression system | Microbial Cell  Factories

Cloning and Expression of a Novel Mammalian Thioredoxin* - Journal of  Biological Chemistry

The thioredoxin (Trx) redox state sensor protein can visualize Trx  activities in the light/dark response in chloroplasts - Journal of  Biological Chemistry

a ) TRX-fusion proteins were analyzed by SDS–PAGE (15% gel). MW... |  Download Scientific Diagram

Beyond Purification: Evolving Roles of Fusion Tags in Biotechnology

Efficiency of Kpn I selection procedure for seven TRX-fusion protein... |  Download Scientific Diagram

Protein purification and crystallization artifacts: The tale usually not  told - Niedzialkowska - 2016 - Protein Science - Wiley Online Library

Efficient, ultra-high-affinity chromatography in a one-step purification of  complex proteins | PNAS

Fussion protein and affinity Purification | PPT

The Strategy for High Amount of Recombinant Protein Purification Guided to  GST-Tag Affinity Chromatography: A Review

Fussion protein and affinity Purification | PPT

Computational and Experimental Evaluation of Linker Peptides and Thioredoxin  Fusion Tag in CD20-rituximab Specific Interactions

An improved method for the heterologous production of soluble human  ribosomal proteins in Escherichia coli | Scientific Reports

Global mapping of thioredoxin interacting proteins in Neurospora crassa |  bioRxiv

Computational and Experimental Evaluation of Linker Peptides and Thioredoxin  Fusion Tag in CD20-rituximab Specific Interactions

Anti Trx tag mouse monoclonal antibody (HRP) | Genprice

PDF) Expression and Purification of Thioredoxin Fusion Proteins

Frontiers | Fusion tags for protein solubility, purification and  immunogenicity in Escherichia coli: the novel Fh8 system

TSGIT: An N‐ and C‐terminal tandem tag system for purification of native  and intein‐mediated ligation‐ready proteins - Raducanu - 2021 - Protein  Science - Wiley Online Library

Structure, Function, and Mechanism of Thioredoxin Proteins | Antioxidants &  Redox Signaling

Evaluation of rice tetraticopeptide domain-containing thioredoxin as a  novel solubility-enhancing fusion tag in Escherichia coli - ScienceDirect

Anti-Thioredoxin / TRX Antibody | Primary Antibodies | Antibodies |  Immunology | Life Science | Carl ROTH - Germany

Expression and purification of epinecidin-1 variant (Ac-Var-1) by acid  cleavage | Applied Microbiology and Biotechnology

Anti-Thioredoxin (Trx-tag) mAb

The Easiest-to-Understand Overview of Protein Expression – GoldBio

Structures of the germline-specific Deadhead and Thioredoxin T proteins  from Drosophila melanogaster reveal unique features among Thioredoxins |  bioRxiv

Increase of Solubility of Foreign Proteins in Escherichia coli by  Coproduction of the Bacterial Thioredoxin (∗) - Journal of Biological  Chemistry

Expression and purification of a native Thy1-single-chain variable fragment  for use in molecular imaging | Scientific Reports

TSGIT: An N‐ and C‐terminal tandem tag system for purification of native  and intein‐mediated ligation‐ready proteins - Raducanu - 2021 - Protein  Science - Wiley Online Library

Thioredoxin Promotes ASK1 Ubiquitination and Degradation to Inhibit  ASK1-Mediated Apoptosis in a Redox Activity-Independent Manner |  Circulation Research

Fusion tags for protein solubility, purification, and immunogenicity in  Escherichia coli: the novel Fh8 system

Recombinant production of influenza hemagglutinin and HIV-1 GP120 antigenic  peptides using a cleavable self-aggregating tag | Scientific Reports

Structure, Function, and Mechanism of Thioredoxin Proteins | Antioxidants &  Redox Signaling

Effect of Thioredoxin Tag, Oxidizing Environment, and Temperature on the  Global Metabolome of E. Coli Strains | Applied Biochemistry and  Biotechnology

Thioredoxin Promotes ASK1 Ubiquitination and Degradation to Inhibit  ASK1-Mediated Apoptosis in a Redox Activity-Independent Manner |  Circulation Research

Increase of Solubility of Foreign Proteins in Escherichia coli by  Coproduction of the Bacterial Thioredoxin (∗) - Journal of Biological  Chemistry

Overexpression and Purification of Human Cis-prenyltransferase in  Escherichia coli

The Strategy for High Amount of Recombinant Protein Purification Guided to  GST-Tag Affinity Chromatography: A Review

Comprehensive Guidelines to Protein Production and Purification - Alpha  Lifetech

A Combination Strategy of Solubility Enhancers for Effective Production of  Soluble and Bioactive Human Enterokinase | bioRxiv

Frontiers | Multi-Compartment and Multi-Host Vector Suite for Recombinant  Protein Expression and Purification

TSGIT: An N‐ and C‐terminal tandem tag system for purification of native  and intein‐mediated ligation‐ready proteins - Raducanu - 2021 - Protein  Science - Wiley Online Library

Comprehensive Guidelines to Protein Production and Purification - Alpha  Lifetech

Using Large Language Model to Optimize Protein Purification: Insights from  Protein Structure Literature Associated with Protein Data Bank - Chen -  2025 - Advanced Science - Wiley Online Library

The Easiest-to-Understand Overview of Protein Expression – GoldBio

RecEh Trx Increases in Mass upon Modification with Metronidazole or... |  Download Scientific Diagram

Fussion protein and affinity Purification | PPT

Tag Removal Proteases for Recombinant Protein Purification

Frontiers | Challenges Associated With the Formation of Recombinant Protein  Inclusion Bodies in Escherichia coli and Strategies to Address Them for  Industrial Applications

Using Large Language Model to Optimize Protein Purification: Insights from  Protein Structure Literature Associated with Protein Data Bank - Chen -  2025 - Advanced Science - Wiley Online Library

Global mapping of thioredoxin interacting proteins in Neurospora crassa |  bioRxiv

Identification of Thioredoxin Disulfide Targets Using a Quantitative  Proteomics Approach Based on Isotope-Coded Affinity Tags | Journal of  Proteome Research

Protocol for Purification of Human ZGRF1 and Its Regulatory Function on  RAD51-Mediated D-Loop Formation

Efficient, ultra-high-affinity chromatography in a one-step purification of  complex proteins | PNAS

Structures of the germline-specific Deadhead and Thioredoxin T proteins  from Drosophila melanogaster reveal unique features among Thioredoxins |  bioRxiv

High Throughput Quantitative Expression Screening and Purification Applied  to Recombinant Disulfide-rich Venom Proteins Produced in E. coli

Fusion tags for protein solubility, purification, and immunogenicity in  Escherichia coli: the novel Fh8 system

Challenges Associated With the Formation of Recombinant Protein Inclusion  Bodies in Escherichia coli and Strategies to Address Them for Industrial  Applications | Semantic Scholar

Terminator: A Software Package for Fast and Local Optimization of His-Tag  Placement for Protein Affinity Purification | ACS Bio & Med Chem Au

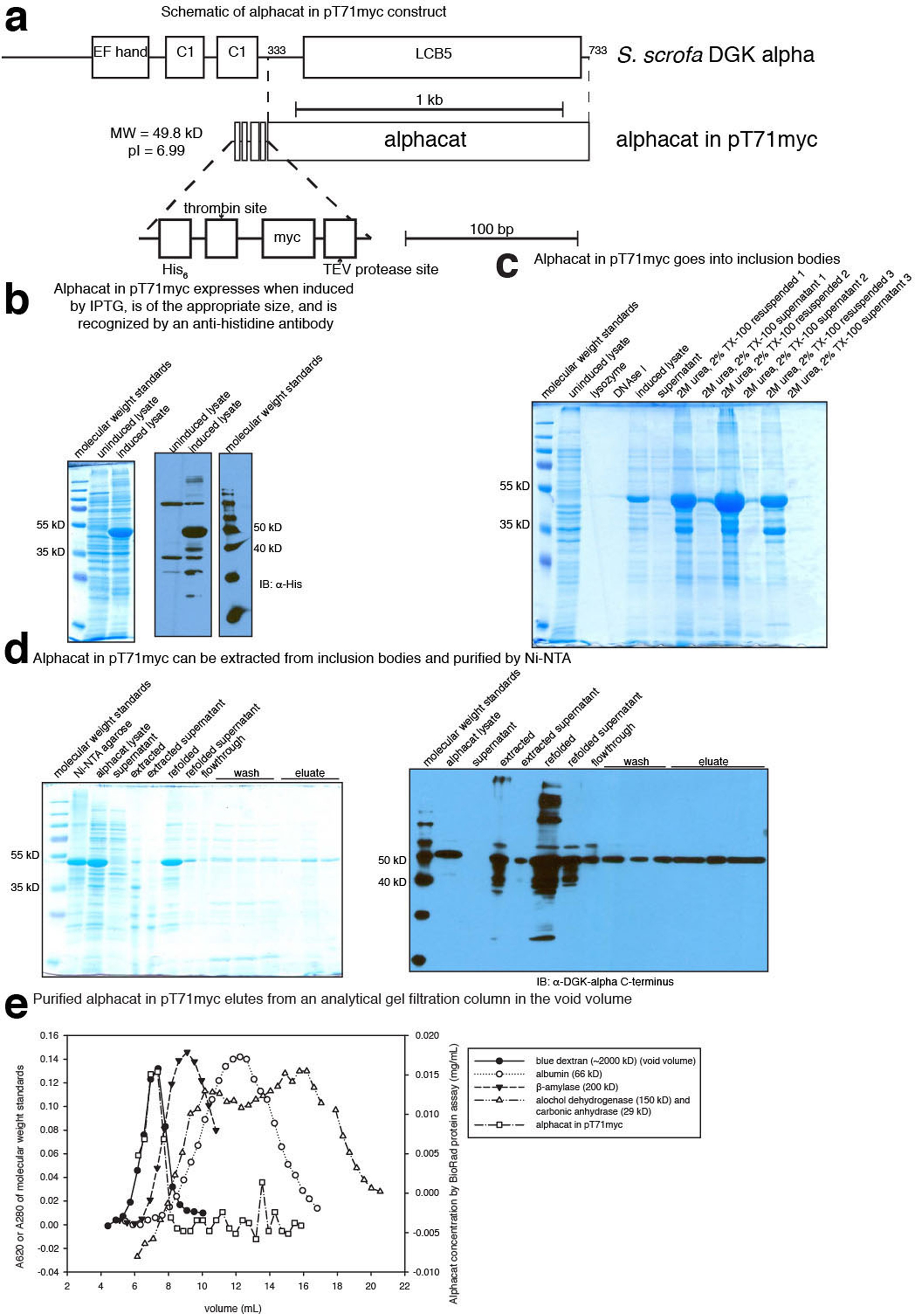
Bacterial expression strategies for several Sus scrofa diacylglycerol  kinase alpha constructs: solubility challenges | Scientific Reports

Strategies for Tag Design and Removal in the Expression and Purification of  Recombinant Proteins

Expression and Purification of Soluble form of Human Parathyroid Hormone  (rhPTH1-34) by Trx Tag in E. coli

Scheme of the recombinant proteins as produced upon cloning in pET32b... |  Download Scientific Diagram

Structure, Function, and Mechanism of Thioredoxin Proteins | Antioxidants &  Redox Signaling

Thioredoxin antibody (66475-1-Ig) | Proteintech

Polyionic Tags as Enhancers of Protein Solubility in Recombinant Protein  Expression

Frontiers | Fusion tags for protein solubility, purification and  immunogenicity in Escherichia coli: the novel Fh8 system

Research Progress Fusion Tags for Recombinant Protein Production - Yuan -  2025 - Biotechnology and Applied Biochemistry - Wiley Online Library

A universal entropy-driven mechanism for thioredoxin–target recognition |  PNAS

Prokaryotic soluble expression and purification of bioactive human  fibroblast growth factor 21 using maltose-binding protein | Scientific  Reports

Fussion protein and affinity Purification | PPT

45-1007: Mouse Monoclonal Antibody to Trx-tag (Clone : 4C12H10) Description  Product Info Application Note

A protein purification method for the summer☀️: Heat treatment 🔥 of Trx  fusions helps increase the sample purity of transmembrane protein  preparations 🧪🧑‍🔬Check it out 👇 https://t.co/KlOgIFI3MS @Schlierf_Lab

29 январь 0 0
2023 copyright text.